DTE i-Sensor H1 Датчик интраоральный цифровой рентгеновской визуализации · Woodpecker (Китай)
Цифровой интраоральный радиовизиограф DTE i-Sensor H1 (Woodpecker, матрица CsI)
i-Sensor H1 — это передовой активный цифровой внутриротовой датчик экспертного класса, разработанный инженерами Guilin Woodpecker и представленный под премиальной торговой маркой DTE. Это инновационное ИТ-решение для стоматологических клиник, стремящихся к полному переходу на цифровой рабочий процесс (digital workflow).
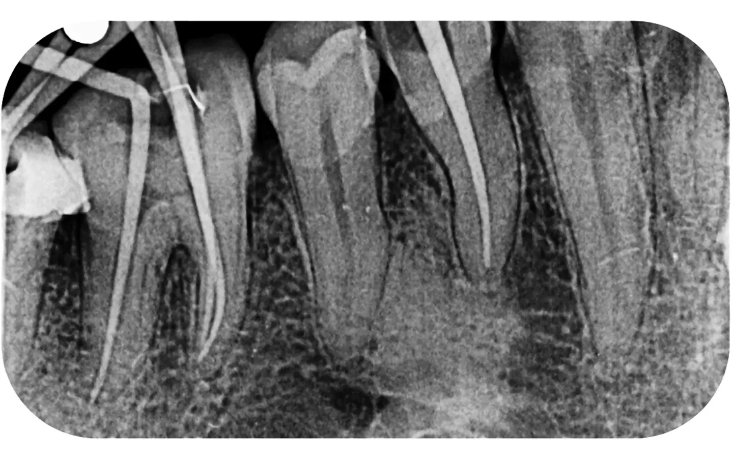
Система сочетает сверхвысокую чувствительность активной матрицы с аппаратным усилением сигнала, превосходное пространственное разрешение (благодаря слою CsI) и мгновенную визуализацию на экране монитора. Аппарат разработан для получения высококонтрастных прицельных рентгеновских снимков при диагностике вторичного кариеса, прецизионном контроле эндодонтического лечения и оценке состояния пародонта.
Технологические преимущества матрицы DTE i-Sensor H1
Активная матрица и Аппаратное усиление
В отличие от устаревших пассивных датчиков, активная матрица i-Sensor H1 аппаратно усиливает рентгеновский сигнал непосредственно внутри самого корпуса датчика, до передачи по кабелю.
Эта технология (Amplified Technology) гарантирует стабильную передачу данных на ПК без цифрового шума и искажений. Она позволяет получать кристально четкие изображения при минимальных настройках экспозиции рентген-аппарата, снижая лучевую нагрузку на пациента до 70% по сравнению с аналоговой пленкой.
Эндодонтическая детализация (Матрица CsI)
Сочетание премиального сцинтилляционного экрана CsI (Цезий-йодид) и минимального размера физического пикселя (20 мкм) обеспечивает выдающиеся характеристики: теоретическое пространственное разрешение до 20 пар линий/мм (lp/mm) и фактическое разрешение ≥12 пл/мм.
Идеальная четкость и контрастность позволяют врачу визуализировать мельчайшие клинические структуры: дополнительные боковые корневые каналы, микротрещины, перфорации корня, края пломбировочного материала и минимальные изменения ширины периодонтальной щели.
Ультратонкий эргономичный корпус (4,5 мм)
DTE i-Sensor H1 обладает одним из самых тонких профилей на мировом рынке. Базовая толщина активной рабочей части составляет всего 4,5 мм (с допуском внешних габаритов корпуса ±1,5 мм).
Тщательно сглаженные (закругленные) углы корпуса исключают травмирование слизистой оболочки полости рта. Это гарантирует максимальный комфорт пациента при позиционировании датчика в глубоких дистальных отделах, у пациентов с анатомически низким нёбом или выраженным рвотным рефлексом.
Защита от изломов и Универсальность (Direct USB)
Высокопрочный гибкий кабель (длиной 3 метра) протестирован на заводском стенде на 100 000 циклов жесткого изгиба. Это защищает визиограф от самой частой причины поломок — разрыва контактов у основания при интенсивной клинической эксплуатации.
Аппарат использует интерфейс прямого подключения USB 2.0 (без промежуточных тяжелых блоков оцифровки). Датчик совместим с большинством рентгеновских аппаратов и легко интегрируется в существующий цифровой рабочий процесс клиники.
Области клинического применения i-Sensor H1
- Терапия: Ранняя диагностика скрытого (апроксимального) и вторичного кариеса под старыми реставрациями.
- Эндодонтия: Контроль качества обработки (работа с файлами, точное определение рабочей длины канала, оценка обтурации).
- Пародонтология: Оценка уровня убыли костной ткани альвеолярного отростка при пародонтите, выявление поддесневого зубного камня.
- Имплантология и Ортопедия: Контроль остеоинтеграции дентальных имплантатов, подбор и оценка прилегания ортопедических конструкций, планирование хирургических вмешательств.
Технические характеристики i-Sensor H1
| Производитель / Бренд | Guilin Woodpecker / DTE (Китай) |
| Тип детектора | Активный цифровой внутриротовой датчик (с усилением сигнала) |
| Сцинтилляционный экран | CsI (Цезий-йодид) |
| Эффективная площадь изображения (Активная зона) | 20 × 30 мм |
| Внешние габариты датчика (Д х Ш х В) | 38,5 × 25,0 × 4,5 мм (Допуск профиля ±1,5 мм) |
| Максимальная пиксельная матрица | 1000 × 1500 пикселей |
| Размер физического пикселя | 20 мкм |
| Разрешение (Пространственное / Фактическое) | Теоретическое: 20 пар линий/мм / Фактическое: ≥ 12 пар линий/мм |
| Степень влаго- и пылезащиты | IP68 (Полная герметичность, ультразвуковая сварка) |
| Интерфейс подключения | Прямой USB 2.0 (Direct USB) |
| Длина кабеля | 3000 мм (±50 мм) |
| Потребляемая мощность | 2,5 Вт (Питание от USB порта ПК) |
| Регистрационное удостоверение РФ | РЗН 2025/25357 (Официальная гарантия 1 год) |
Заводская комплектация аппарата:
Аппарат поставляется готовым к работе, комплектуется фирменным программным обеспечением, набором одноразовых гигиенических чехлов и монтажными элементами для крепления на стену или панель установки.
- Датчик (радиовизиограф) DTE i-Sensor Н1 с кабелем USB — 1 шт.
- USB флеш-накопитель с оригинальным программным обеспечением — 1 шт.
- Одноразовые защитные гигиенические пакеты — 1 уп. (100 шт.)
- Защитный плотный силиконовый чехол для датчика — 1 шт.
- Настенный кронштейн-держатель для безопасного хранения датчика — 1 шт.
- Монтажный комплект для кронштейна (Крепежный винт — 2 шт., Дюбель — 2 шт.)
- Официальное руководство по эксплуатации и гарантийный талон — 1 шт.
Частые вопросы врачей о визиографе DTE i-Sensor H1 (FAQ)
В чем преимущество матрицы с технологией CsI перед обычными датчиками?
Сцинтиллятор на основе Цезий-Йодида (CsI) обладает уникальной столбчатой (игольчатой) микроструктурой кристаллов. В отличие от дешевых оксид-гадолиниевых (GOS) экранов, где рентгеновские фотоны рассеиваются в стороны, структура CsI направляет свет строго вертикально на матрицу пикселей. Это обеспечивает беспрецедентную резкость изображения, высокий контраст и позволяет аппарату улавливать сигнал при значительно меньшей (до 70% ниже) дозе облучения пациента.
Сложно ли стерилизовать датчик по нормам инфекционного контроля?
Абсолютно не сложно. Корпус датчика собирается по технологии ультразвуковой герметичной сварки (уровень влагозащиты IP68). Протокол инфекционного контроля состоит из базовых этапов: перед позиционированием во рту пациента на датчик надевается плотный одноразовый защитный чехол-пакет (100 шт. идут в стартовом комплекте), а после приема датчик можно безопасно протирать дезинфицирующими бесспиртовыми салфетками или погружать в емкости для холодной химической дезинфекции.
Совместим ли визиограф с программным обеспечением сторонних производителей?
Да. Помимо превосходного русифицированного оригинального софта Ai Dental, данный датчик аппаратно и программно совместим с большинством современных систем управления стоматологической клиникой. В частности, он поддерживает работу с популярным программным обеспечением EzDent от компании Vatech, что позволяет интегрировать i-Sensor в существующую ИТ-инфраструктуру без переобучения персонала.
|
Регистрационное удостоверение
|
РЗН 2025/25357 от 06.05.2025 |
|
Гарантия производителя
|
1 год |
|
Код товара
|
29208 |





